L’artrosi all’anca (o Coxartrosi nel suo nome specifico), è una patologia che colpisce la cartilagine articolare del bacino andando ad agire sulla sua degenerazione, oltre a questo si associa una modificazione delle componenti ossee, capsulari e sinoviali.
Questo disturbo si presenta con maggior frequenza nella categoria femminile della popolazione, e colpisce con maggior frequenza le donne di mezza età nella fase postuma alla menopausa, questo è dovuto a una riduzione del livello di estrogeni che svolgono nel nostro organismo un’azione protettiva.
Questa problematica viene divisa in 2 categorie:
- I grado: si definisce di primo grado quando colpisce le articolazioni apparentemente integre e che non presentano deformazioni
- II grado: si definisce artrosi di secondo grado un’artrosi derivante da fratture o lussazioni congenite all’anca
Quando il soggetto è colpito da questa patologia presenta un tipico dolore inguinale, con delle punte di dolore al mattino appena alzato dal letto, ma tende a diminuire con il riscaldamento dell’articolazione colpita dovuta al movimento. Questo però è solo un benessere temporaneo perché dopo una passeggiata o un movimento prolungato, il dolore si ripresenta. La caratteristica dei pazienti affetti da Coxartrosi è una camminata claudicante (zoppicante), questo è dovuto alla sensazione di dolore che il soggetto percepisce e di conseguenza tende a mettere in scarico il lato dolorante.
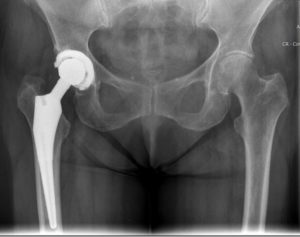
Il paziente quando presenta queste problematiche può rivolgersi allo specialista per una valutazione obiettiva, il quale riscontrerà una limitazione dell’anca nei movimenti di flessione ed intra e extra rotazione caratterizzati da dolore inguinale aggravato anche dalla mobilizzazione passiva ai massimi gradi. Una volta accertate queste caratteristiche si dovrà svolgere un esame strumentale, la radiografia con la quale si accerterà l’entità della problematica.
Una volta che lo specialista ha fatto una diagnosi della patologia, andrà a valutare la possibilità di svolgere un percorso conservativo, attraverso una riabilitazione guidata, oppure nel caso di una situazione cronica si dovrà ricorrere alla chirurgia, attraverso la sostituzione dell’articolazione con una protesi d’anca.
Bisogna però specificare che la fisioterapia rappresenta una risorsa fondamentale per tutte le situazioni sia di tipo conservativo, che di pre e/o post operatorio per il recupero dell’articolarità, sul rinforzo dell’arto colpito e sull’allenamento alla corretta deambulazione del paziente. 
A questa problematica vengono affiancate terapie fisiche come la tecar terapia o ultrasuoni o ionoforesi o tens, che consentono di attenuare il dolore percepito. Oltre a questo si affiancano anche terapie manuali (massaggi e mobilizzazioni) in modo da decontrarre la muscolatura dell’arto colpito costretto a lavorare in maniera scorretta per cercare di attenuare il dolore.
Per concludere si può affermare che la fisioterapia può essere ‘un’arma vincente’ per migliorare questa patologia, sia in una fase iniziale con modalità di conservazione sia per un valido supporto alla chirurgia consentendo così al paziente di arrivare al giorno dell’intervento preparato fisicamente. Consente inoltre di poter recuperare in maniera più rapida successivamente l’operazione, evitando al paziente atteggiamenti scorretti che potrebbero far diventare l’intervento un fallimento nel lungo periodo. Ovviamente bisogna tener presente che la fisioterapia non potrà mai sostituire la chirurgia nelle forme più gravi di questa patologia ma come già detto può essere un vero e proprio alleato per il miglioramento.
Studio di Fisioterapia e Riabilitazione Busetto e Pontel S.R.L.
